Partial Dentures
Acrylic partial dentures • Cobalt chromium overlay type • Cobalt Chromium (metal) partial dentures
Acrylic partial dentures
Case 1 – This patient requested a new denture to improve the appearance of her old set. The new tooth positions and colouring matched the patient’s natural teeth. She was very happy.
before
after
Acrylic partial dentures
Case 2 – After a thorough discussion and learning the patient’s requests, a new denture was provided. The new denture incorporated a diastema (gap between the front teeth) which is what the patient originally had when her natural tooth was present.
before
after
Cobalt chromium overlay type
This new patient stated his front tooth from his denture had broken off over a dozen times. A correct diagnosis was made and the new denture had to also manage the complex bite. This was done with an overlay denture and the front tooth hasn’t come off since!
before
after
Cobalt Chromium (metal) partial dentures
Case 1 – If there are some natural teeth remaining, metal dentures can be fabricated to be supported.
before
after
Cobalt Chromium (metal) partial dentures
Case 2 – This patient had a large defect in his top jaw, his existing acrylic denture was unsatisfactory. The appearance and retention were both addressed with his new metal denture.
before
after
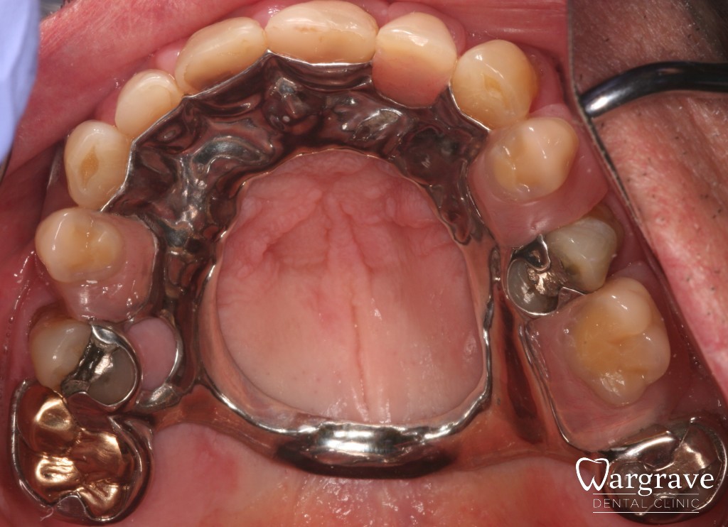
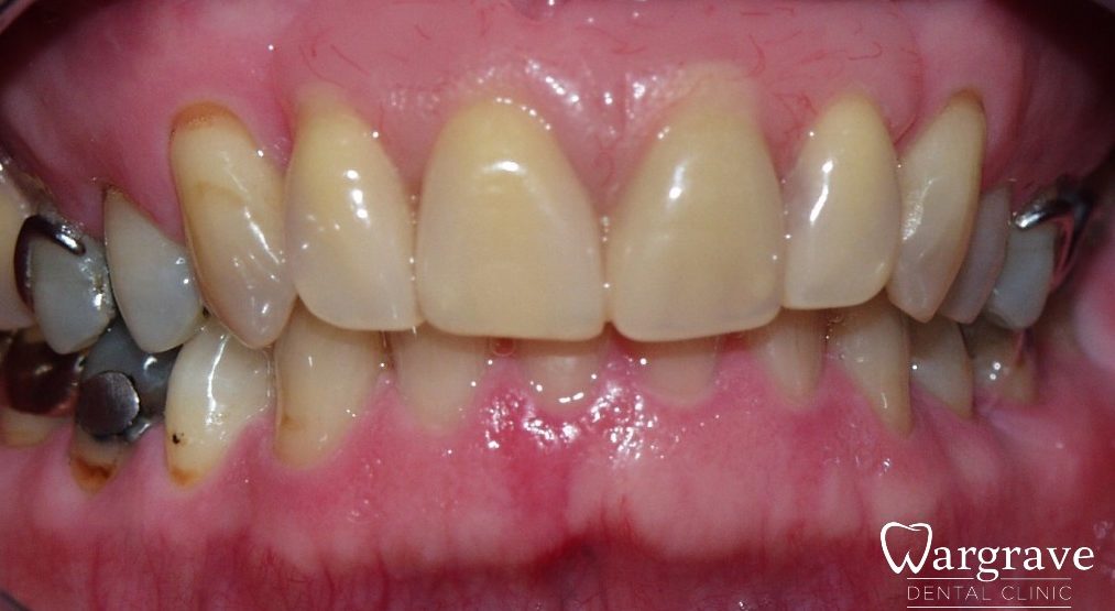
Cobalt Chromium (metal) partial dentures
Case 3 – This metal insert was fabricated to help utilise the natural teeth making the final denture more stable
before
after
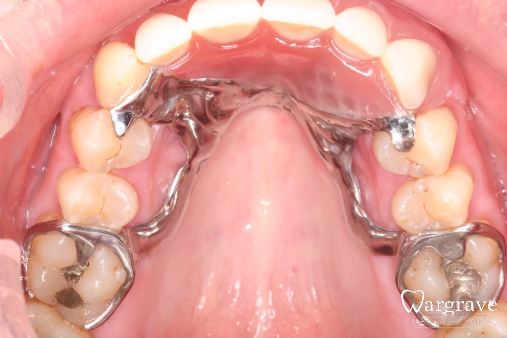
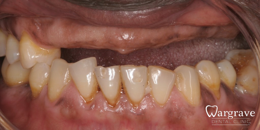
Cobalt Chromium (metal) partial dentures
Case 4 – This horseshoe design of metal denture allows the palate to be free from coverage enabling the patient to be more comfortable and taste his food. This style of denture also felt less bulky to the patient.
before
after
