Dental Emergency treatments
Emergency treatment
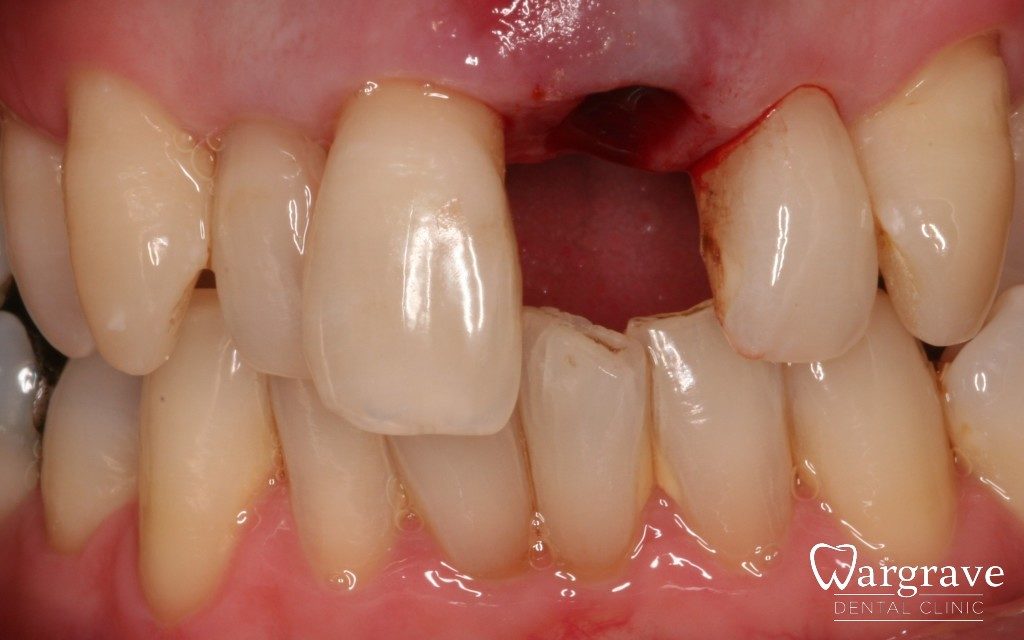
This gentleman suffered from advanced gum disease and had recurrent abscesses with his central incisor. The tooth was extracted and immediately splinted back into position serving as a temporary bridge but using his own tooth!
before
after
