smile gallery
These are clinical examples of different treatments available. All cases shown were carried out by Dr R Khurana unless otherwise stated.
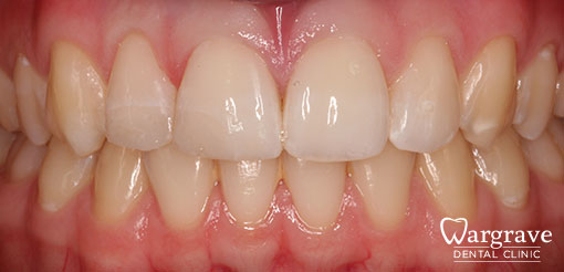
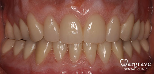
Implants
before
After
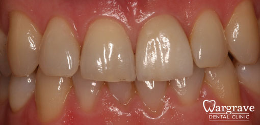
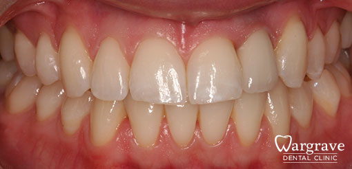
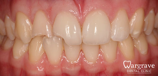
Cosmetic Crowns
before
After
implant guided surgery
before
After
Denture stabilisation with implants
before
After
Tooth Whitening
before
After
replacement of silver fillings
before
After
White fillings on anterior teeth
before
After
Veneers
before
After
Fixed bridge replacing an old denture
before
After
full dentures
before
After
