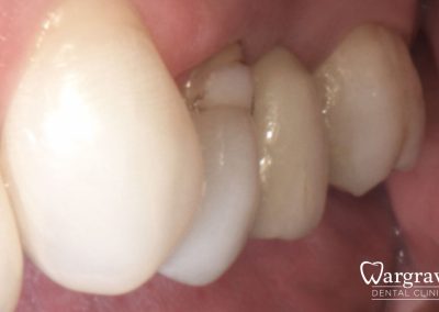
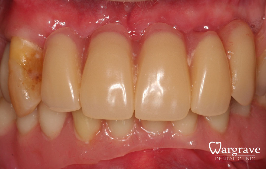
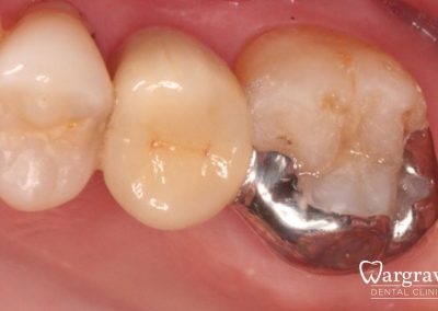
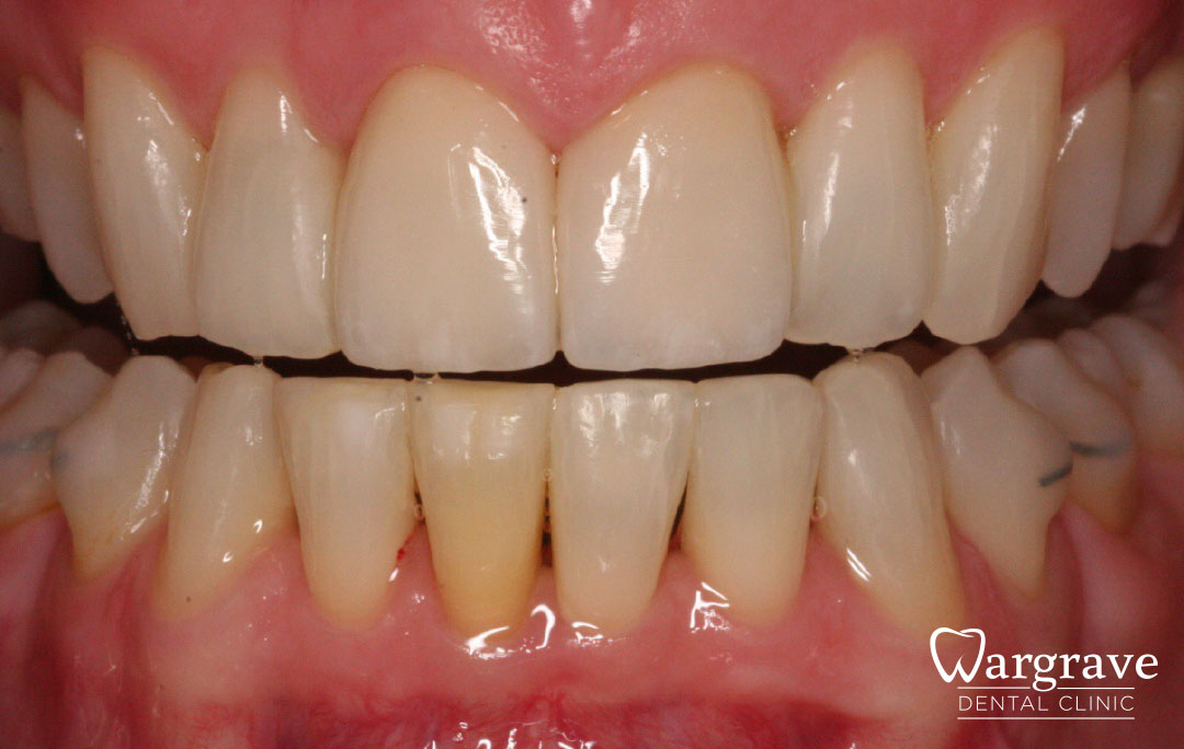
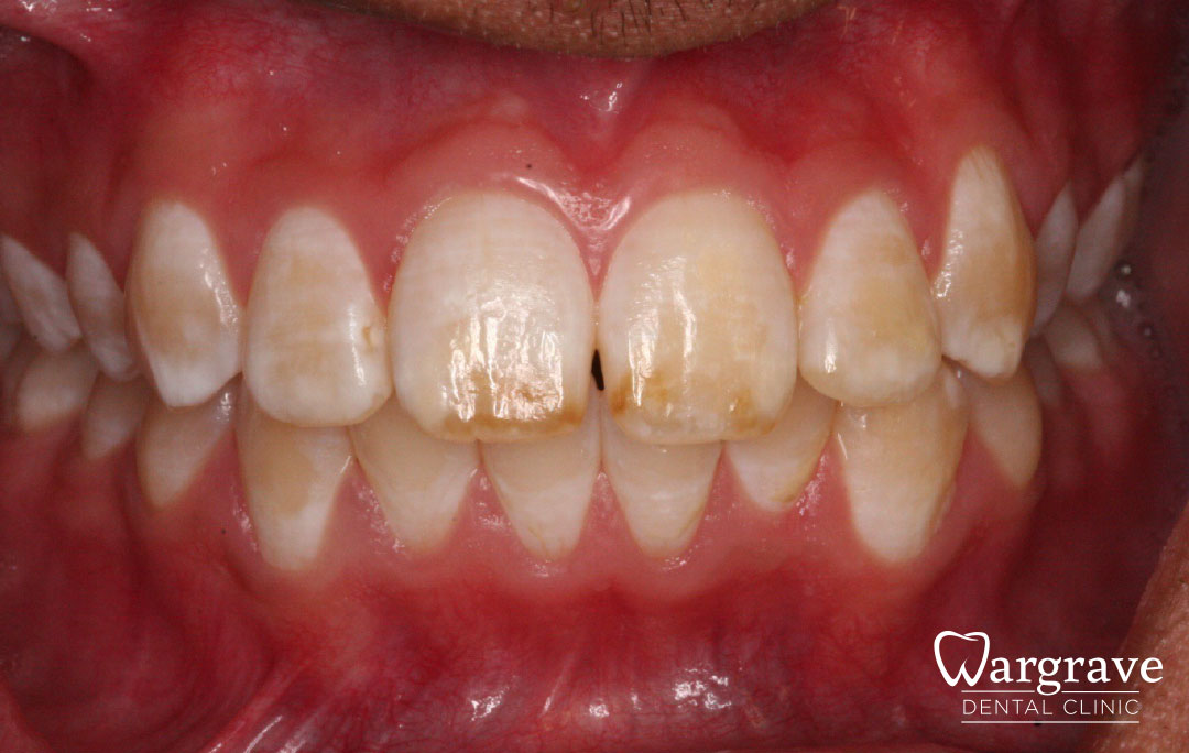
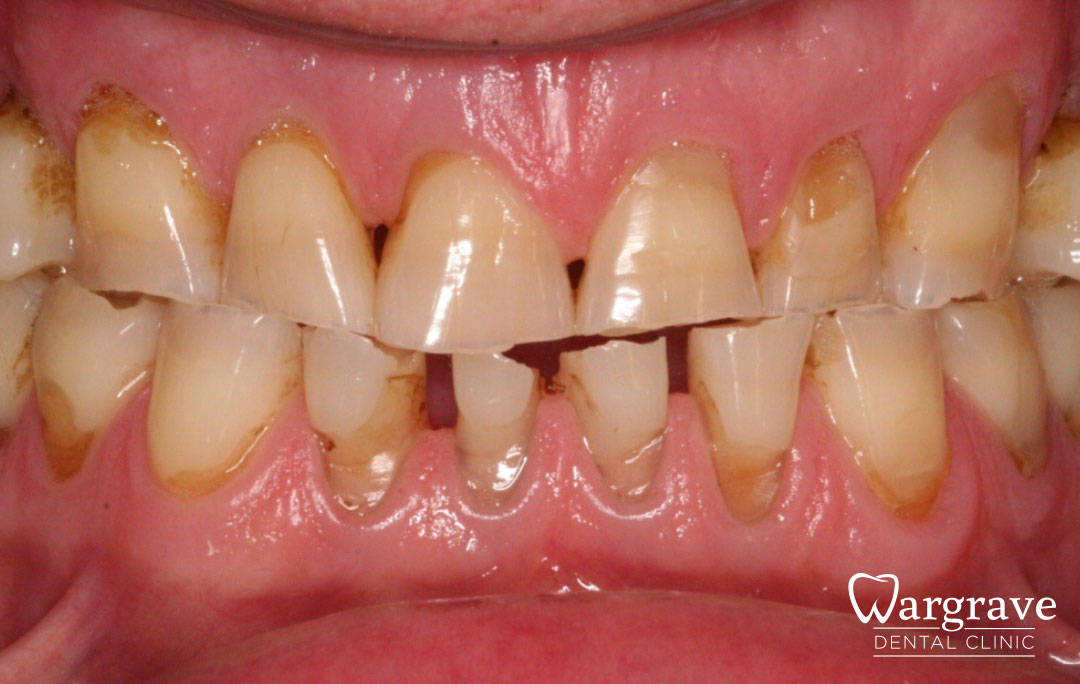
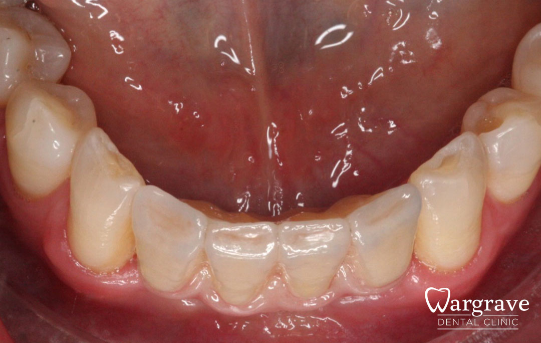
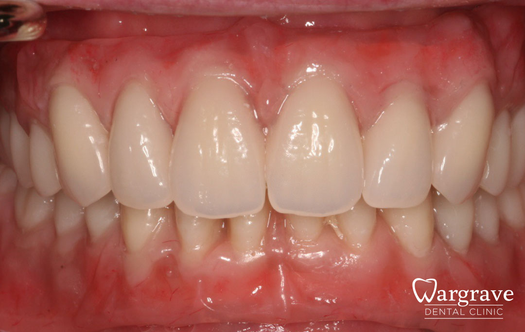
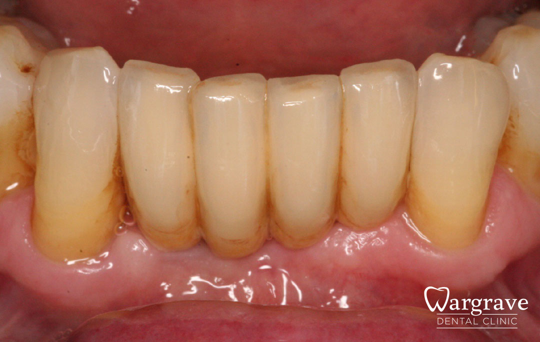
Healthy Smiles These are more advanced examples of different treatments available.All cases shown were carried out by Dr R Khurana unless otherwise stated. Immediate implants Anterior Mandible Bone Regeneration Anterior Mandibular Implant Bridge Maxillary Anterior Implant Bridge Implant stabilised ‘Life Like’ replacement dentures Implant Bridge after 10-years with zero bone loss Implant examples including ZBLC concepts Adhesive Bridge solution for a missing premolar Multidisciplinary care Orthodontics, Replacement veneers and composite bonding Adhesive Bridge solution for missing central incisors Replacement crown, Veneer and Composite Bonding Replacement Crowns and Veneer Injection Moulding using Composite Resin Equilibration Tooth Whitening to treat Developmental Discolouration